- ホーム
- 投稿記事
- インプラント/歯を失った方へ
- 【インプラント治療期間が相場の1/2】即時インプラ...
【インプラント治療期間が相場の1/2】即時インプラントとは?抜歯したその日に歯が入る治療のメリットと注意点
- 2026.01.06
- インプラント/歯を失った方へ
こんにちは、歯科医師の会田です。
「歯を抜いたら、しばらく歯が無い状態になるのでは?」
「インプラントって治療期間が長いと聞くけれど、本当?」
こういった疑問を持つ患者さんは少なくありません。
近年、インプラント治療は大きく進歩し、
歯を抜いたその日にインプラントを入れられる “即時インプラント(抜歯即時埋入・即時負荷)”
が多くのケースで可能になりました。
治療期間を短くできるだけでなく、見た目や噛む機能を早く回復できることから、非常に人気が高い治療です。
今回は抜歯即時インプラントについて
- 基本
- メリット・デメリット
- 手術の流れ
- 成功の条件
- 当院の強み
をわかりやすく解説します。
この記事の目次
即時インプラントとは?
即時インプラントとは、
抜歯 → 直後にそのままインプラントを埋入→そのインプラントを土台に仮歯を入れる治療法のことです。
従来のインプラントでは
- 抜歯
- 2〜3ヶ月の治癒期間
- インプラント埋入
- さらに数ヶ月待つ
という流れでした。
これにより数カ月歯が無い期間ができてしまい、見た目の問題や食事を摂りにくいといった問題がありました。
しかし即時埋入・即時負荷インプラントでは、最短抜歯当日に仮歯まで入れることが可能なので
治療期間が一気に短縮され、通院回数も減らせるのが大きな特徴です。
<術前>
割れてしまった右上の前から2番目の歯をインプラントにしていきます。
中で膿んでいるため歯ぐきの色が悪いです。

<処置当日>
割れた歯を抜歯して、インプラントを土台とした仮歯を付けました。

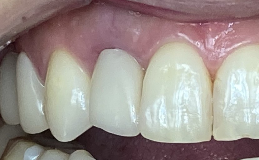
<オペから約3ヶ月後>
最終の被せ物を装着。歯ぐきの血色も良くなっています。

この方法ですと元々あった歯の周りの歯ぐきや骨がほとんど減らないため見た目がとても自然です。治療期間も短く、治療期間中も仮歯がしっかり入るので不便が少ないです。
何より、過去の治療方法に比べて腫れや痛みも少ないのです。
今回のケースでも歯ぐきの血色が回復し、綺麗に治っていることがわかります。
処置内容:
右上側切歯を抜歯、ガイドを使用してインプラントを埋入、即日に仮歯を装着。
2ヶ月半後に最終の型取りスキャンをして上部構造を装着。
治療期間:
3ヶ月
治療費:
55万(税込)
考えられるリスク・副作用:
手術後の痛み、腫れ、インプラント周囲炎
即時インプラントが向いているケース
即時インプラントの適応には
- 骨の量・厚みが十分ある
- 全身疾患がコントロールされている
- 喫煙習慣や過度の食いしばり・噛み締め癖などの悪習慣がない
などの条件が必要ではあります。
極端に歯周病が進行していたり、長期間の喫煙により血行が悪くなってしまったりしていると即時インプラントが適応できない場合があります。
即時インプラントのメリット
① 歯がない期間を作らずに済む
前歯など見た目が気になる部分でも抜歯直後に仮歯を入れることができるため、
日常生活への影響が最小限で済みます。
② 治療期間が短い
従来のインプラントより2〜3ヶ月以上短縮されることもあります。
最短3か月で最終の被せ物まで入れることが可能です。
③ 骨のやせ(吸収)を防ぎやすい
抜歯直後は骨がまだ残っていますが、歯が無いまま時間が経つと骨が急速にやせてきてしまいます。
即時埋入は骨があるうちにインプラントを固定できるため骨の吸収を防ぎ予後が良いです。
④ 歯肉の形が美しく整いやすい
抜歯後に歯が無いままの期間が長いと歯肉が下がりやすく、最終の被せ物を入れたときに歯肉や歯が非常に長く出来上がってしまう場合があります。
即時埋入は歯が無い期間が短いので審美性が高く仕上がりやすいのが特徴です。
即時インプラントのデメリット
① 感染が強い場合は適応できない
虫歯や歯周病が大きく進行している場合は感染を取り切れない可能性があるため即時埋入の場合、上手く固定できない時は通常のインプラントを優先します。
② 技術力が必要な治療
即時インプラントは難易度が高く、経験や技術の差が結果に大きく影響します。
③ 適応症が限られる
どの歯でも可能なわけではありません。
特に奥歯は骨の状態次第で判断が必要です。
即時インプラントの治療の流れ
① CT撮影・検査・準備
骨の量・質・位置関係などを3Dで確認します。歯型をスキャンして事前に仮歯をデザインします。
② 抜歯
感染組織を丁寧に取り除き、歯肉と骨を傷つけないように抜歯します。
③ 即時インプラント埋入
抜歯した穴を利用しながらインプラントを埋入します。
※骨の状態によっては、同時に骨補填材を入れることもあります。
④ 仮歯の装着
当日に仮歯まで装着します。
⑤ 治癒期間
数週間〜数ヶ月かけて骨にインプラントが定着します。
⑥ 最終の被せ物の装着
定着を確認し、型取りを行い最終の被せ物を装着します。
咬合調整を行い、自然で美しい歯が完成します。
即時インプラントの成功条件と注意点
- 術前の精密な診査診断
- 感染のコントロール
- 骨と歯肉の量
- 術者の経験・技術
- 術後のセルフケア
- 定期メンテナンス
即時インプラントは成功率が高い治療ですが、「誰がどの方法で行うか」 が非常に重要です。
当院の即時インプラントの特徴
★① 熟練のドクターが診査・診断・処置を担当
CTを基に熟練のドクターが診査から処置を担当することで失敗率の低下、長期安定性が向上。
★② 審美的な仮歯の作製
オペ当日から「自然な見た目」を実現。
かみ合わせも調整することで当日から噛むことが可能。
★③ PRF/CGF再生療法の併用も可能
患者さん自身の血液で作る再生膜により、治癒の促進・感染リスク低減・審美性の向上を期待できます。(別途費用がかかる)
即時インプラントが適している人/適さない人
✔ 向いている人
- 治療期間を短くしたい
- 見た目を早く整えたい
- 歯が欠けた/折れたがすぐに治したい
- しっかり噛める歯が欲しい
✔ 適さない可能性がある人
- 感染が大きく広がっている
- 重度の歯周病
- 骨が極端に少ない
※診断次第で適応可能になる場合もあります。
まとめ
即時インプラントは、
早く噛めて、見た目も良く、治療期間を短縮できる
今の時代に合った治療方法で、多くの方に選ばれている治療法です。
ただし、適応条件や術者の技術が必要な高度な治療であるため、
まずは、一度CTを含む精密検査で状態を確認しましょう。
「なるべく自然で綺麗に治したい」
「歯がない期間をなくしたい」
「前歯の見た目が気になる」
「入れ歯は避けたい」
など、お悩みがあれば、お気軽にご相談ください。
インプラント治療を行えるクリニックは数多くありますが、適切な即時インプラントができる先生はまだまだそれほど多くいません。
多くの方のお役に立てると幸いです。




