- ホーム
- 投稿記事
- カラダの不調を整えたい
- 歯並びをきれいにしたい
- 顔の歪み、くいしばりを起こす噛み合わせの治療例
顔の歪み、くいしばりを起こす噛み合わせの治療例
- 2022.12.29
- カラダの不調を整えたい
- 歯並びをきれいにしたい
この記事の目次
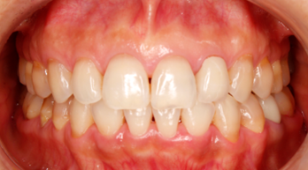
歯並びのラインが右下がりで、奥歯が異常に削れている
患者様は50代前半の女性で、「くいしばりが気になる」「顔が傾いている」「特に右顎が疲れる」というお悩みを抱えていました。

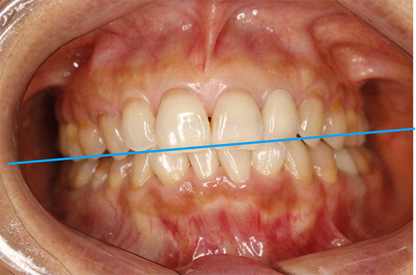
上の写真のように、治療開始前は「まっすぐ正面を見てください」と言っても、どうしても顔が曲がってしまう状態でした。また、「咬合平面」と呼ばれる上の歯並びのラインが、正面から見ると右下がりになっていました。

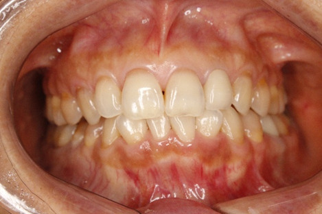
一見すると、下の前歯に多少の凸凹があるものの、そんなに目立って歯並びが悪いわけではないので、患者様も噛み合わせに問題があるとは思っていませんでした。
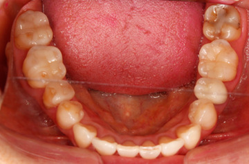
しかし、よく観察してみると、右下の奥歯が異常に削れているのがわかります。

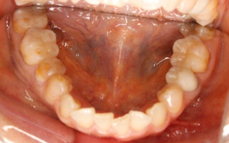
上の写真のように、象牙質と呼ばれる第二層目(歯の内面の黄色い部分)が露出していますが、これは異常なことです。ちなみに、外側の第一層目はエナメル質です。
人間の歯は1年間で約0.03mmしか咬耗しないと言われており、エナメル質自体も厚みが2mm以上ある人が大半です。つまり、まだ50歳の段階で歯の内面が露出するほど削れてしまっているというのは、何か特別な要因が潜んでいることが考えられます。
今回の患者様は、歯が溶けやすくなる食品を頻繁に摂取する習慣もなく、逆流性食道炎(胃酸が頻繁に込み上げてくる病気)でもなかったので、噛み合わせに問題があると判断しました。
噛み合わせが原因だと判断した3つの理由
問題点と考えられるポイントは、3つありました。
1.歯全体で噛めず、奥歯だけが強く当たる状態になっていた


顎関節を正しい位置にしたときに、歯のどこが噛んでいるのか、3Dデータで分析しました。上の写真で緑色の箇所が、歯同士が強く接触している部分です。両側の一番奥の歯が、強く当たっていることがわかります。一方、前歯には緑色がほとんどついていないこともわかります。
「正常な噛み合わせとは」で説明したように、本来は、歯が全体的に当たっているのが好ましい状態です。
しかし今の状態だと、奥歯が先に当たってしまうことで、歯全体でうまく噛めないことが予想されます。このような場合、習慣的に顎を前にずらすようにしないと、うまく噛めません。このズレを補正して、食いしばり・歯ぎしりの力が強くなったり、頻度が増えたりするというデータがあります。
2.前歯の凸凹の影響で、歯本来の機能が働かなくなっている


1.でお話したように、今回の患者様は、顎をずらして歯全体で噛めるように調整していました。しかし、それを邪魔してしまうのが前歯の歯並びです。
下の前歯が凸凹して少し前に出ており、上の前歯は真っ直ぐ下を向いています。この状態では、下顎を前にずらそうとしても、上の歯がその動きを妨げてしまいます。言うなれば、少し窮屈な状態です。
顎を前にずらしたいけれど、前歯で動きに制限をかけられてしまう。結果として、食いしばりの力が奥歯を中心に、ぐ〜っとかかってしまうことが想定されます。
3.上の歯列が右下がりになっている
私たち人間は噛むときに、下顎を自由に動かせると、自然に楽に噛めます。しかし、そこに制限をかけられてしまうと、本来出さなくていい強い力で解消しようとします。

上の写真の状態では、下顎は左右どちらに動かしやすいと思いますか?
上の歯が下の歯にあまりかぶさっていない左(向かって右側)には動かしやすいですが、右(向かって左側)へは動かしにくいかもしれません。右顎の頭から首にかけての筋肉に負担がかかりやすくなり、左右で筋肉の緊張が異なることから、顔が自然と曲がってしまうことが推測できます。
インビザライン®︎で噛み合わせの治療
今回のケースは、歯の位置の異常が主な原因で、詰め物・被せ物による噛み合わせのズレではなかったので、矯正治療の適応となりました。
インビザライン®︎と呼ばれる透明なマウスピースを用いて、正常な噛み合わせを作るための設計を行いました。
インビザライン・ジャパン株式会社より(https://www.invisalign.co.jp/)
マウスピース矯正は最近、だいぶ認知が広まってきました。信頼性や治療効果において患者様のメリットを考えると、2022年12月時点では他の治療方法に比べて、インビザライン®︎が“一強”なのではないかと個人的には思っています。
たまに、ご自身でいろいろ調べられた患者様から「マウスピース矯正ってAIが診断・シュミレーションするから、どの歯科医院で治療を受けても、結果は変わらないんですよね?」と聞かれることがあります。
これは間違いなので、ここで訂正させてください。
インビザライン®︎は、メーカーに蓄積された患者様のビッグデータを活用して、適切な歯の動かし方に導けるよう進化してきました。
ですが、個々の患者様に合わせてシミュレーションの実現性をチェックしたりするのは、担当歯科医師の仕事です。そして、そもそも「なぜ問題が起きているのか?」「問題解決のためにどのような歯の移動が必要か」という根本を考えられるのは、今のところ人間だけです。
とりあえず歯を真っすぐに並べるだけであれば、どこの歯科医院、歯科医師が行なっても良いと思います。しかし、機能と実現性をきちんと考慮して、可能な限りトラブルの少ない矯正を望むのであれば、歯科医師としっかりお話することが大事です。
今回のケースでは、以下のようなシミュレーションを組んで治療しました。

ポイントは先に挙げた3つの問題の解決です。
1.歯全体で噛めず、奥歯だけが強く当たる状態になっていた
2.前歯の凸凹の影響で、歯本来の機能が働かなくなっている
3.上の歯列が右下がりになっている
治療後の写真は、以下のとおりです。




噛み合っている面に傾きがなく、床に対して真っすぐになりました。また、「真っすぐ正面を見てください」と伝えたときに、首が曲がらなくなりました。3Dデータを見ても、接触点(緑色と赤色)が全体に分散しました。
患者様いわく、不均衡な筋肉の緊張が取れて、食いしばりも気にならなくなったとのこと。余計な力がかからないので、顎が疲れることもなくなったそうです。顔の傾きは顕著に改善していますね。
マウスピース矯正治療後のメンテナンス
矯正治療後は、以下の2点に留意して管理します。
1.後戻り防止
矯正治療直後は、まだ歯がずれやすいので、しばらくの間は日中も、後戻り防止を目的とした透明マウスピースをはめていただきます。噛み合わせがしっかりできていれば、噛み合う反対側の歯も“抑え”となります。術後、半年程度は日中も夜間もマウスピースを使用し、その後は、寝る時だけ使っていただくケースが多いです。
2.噛み合わせの定期的なチェック
治療で仕上げた状態が、変化なく良い経過を辿っているか、3〜6ヶ月に1回は、歯科医院でチェックします。今回のように、下顎の動きが制限されていたと思われるケースは、正しい位置で落ち着くまで、経過を見ていくことが重要です。
治療事例概要
治療内容:マウスピース矯正
治療期間:1年2ヶ月
治療回数:7回
治療費用:77万円(税込)
主な副作用、リスク
・矯正用マウスピース装着直後~3日間程度は、軽い痛みや違和感を覚える場合があります。
・矯正用マウスピースは長時間装着(1日18時間以上)していただく必要があります。
※装着時間が短くなると、治療計画通りには歯が動かない可能性があります。
・歯の移動に伴い歯茎が少し退縮したり、多少の歯根吸収が起きる可能性があります。
・かみ合わせや食いしばり、歯ぎしりが強すぎる方は、詰め物や被せ物が割れる可能性があります。
・日々変化するお口の中の状態に合わせて定期的な確認、調整を行わなかった場合、詰め物や被せ物の破損等が起きる可能性があります。
・口腔ケア(歯磨きなど)を怠った場合、虫歯や歯肉炎になる可能性があります。
噛み合わせと身体の歪みは、密接に関係!痛みがなくても要注意
今回の症例は、「まさか、噛み合わせが原因だったとは!」と驚いた方も多いのではないでしょうか。
噛み合わせの歪みと、身体・脊椎の歪みは関係しています。“にわとりが先か、卵が先か”と同じで、噛み合わせの問題が身体の歪みを作ったり、逆に、身体の歪みが噛み合わせに影響を与えたりすることもあります。

姿勢と噛み合わせや歯並びの意外な関係|歯科医師会田の噛み合わせメディア〜カムシル〜
噛み合わせのズレは、噛む筋肉に大きな影響を与えます。くいしばり、緊張による頭痛、首・肩の凝りだけでなく、今回のケースのように、ひと目でわかるような首・顔の歪みの原因にもなります。今回は明らかに噛み合わせに問題があったので、歯科的なアプローチで改善を図りました。
「痛い」「しみる」といった、わかりやすいトラブルがなくても、お口の中に問題が隠れていることは、しばしばあります。歯の定期検診の際には、歯の汚れを取るだけでなく、顔周りの気になる症状が噛み合わせに由来していないか、ぜひ歯科医師に尋ねてみましょう。
「噛み合わせが気になる」「顎が歪んでいる気がする」「顎が疲れる」「くいしばりが気になる」などのお悩みがある方は、歯科医師 会田にLINEでご相談ください。
下記ページもご覧ください。
慢性頭痛、顎の疲労・歪みを引き起こす噛み合わせの治療例|歯科医師会田の噛み合わせメディア〜カムシル〜
正常な噛み合わせとは|歯科医師会田の噛み合わせメディア〜カムシル〜
「お口の問題」と「身体の不調や病気」はつながっている!?|歯科医師会田の噛み合わせメディア〜カムシル〜
歯科医師 会田光一




