- ホーム
- 投稿記事
- お口のクリーニング/予防歯科
- 白くなる歯のクリーニング、PMTCとは?保険の歯石...
白くなる歯のクリーニング、PMTCとは?保険の歯石取りとは違う専門クリーニングの効果と魅力
- 2026.01.08
- お口のクリーニング/予防歯科
こんにちは、歯科医師の会田です。
以前のコラムでは「歯石取りの大切さ」についてお話しをしました。
歯石取りは不要な汚れや歯周病の原因を取り除く大切なケアですが、実はそれだけでは取りきれない“細菌の膜=バイオフィルム”が残ってしまいます。
このバイオフィルムを徹底的に除去し、より健康なお口を保つために効果的なのが
PMTC(プロによる機械的歯面清掃) です。
今回は、私が行っているPMTCの内容と、そのメリットをわかりやすく解説します。
PMTCとは?
PMTCとは、歯科衛生士が専用の機械や器具を使用して行う“専門的な歯のクリーニング”のことです。
普段の歯みがきでは落としきれない
- 歯と歯の間
- 歯と歯ぐきの境目
- 奥歯の溝
- 舌側の細かい凹凸
などに入り込んだバイオフィルムや磨き残しを丁寧に除去します。
歯石取りがすでに歯周病になっている方への「治療的ケア」なのに対し、
PMTCは “予防を目的としたケア” である点が大きな特徴です。
なぜバイオフィルムを除去する必要があるの?
バイオフィルムとは、細菌が歯の表面に張りついて作る膜のことです。
この膜は「抗生物質やうがい薬が効きにくい」という性質があります。
つまり…
バイオフィルムは“家での歯みがきでは絶対に落とせない汚れ”なのです。
これが残っていると
- 虫歯の発生
- 歯周病の進行
- 口臭
などの原因になります。
だからこそ、歯科医院でのPMTCが重要なのです。
PMTCの流れ
① 染め出し(プラークチェック)
専用の染め出し液で、普段の歯磨きで残りがちな部分を可視化します。
「どこに磨き残しがあるのか」を患者さん自身にも確認していただきます。
紫と赤の2色染めなのでより古い細菌のかたまり、新しい細菌のかたまりなど違いが分かります。

② エアフロー(微細パウダーでの洗浄)
エアフローは、パウダーと水をジェット噴射してバイオフィルムを一気に吹き飛ばす機械です。
歯の表面はもちろん、
- 歯と歯の間
- 奥歯の溝
- 入り組んだ部分
など汚れが入りやすく、残りやすい箇所まで短時間でキレイにできます。
バイオフィルム以外にも細かい着色(コーヒー・紅茶・タバコ)にも効果があります。
歯の表面を傷つけることなく汚れを落とすことが可能です。
③ 歯石除去(スケーリング)
エアフローでは歯石は取れません。
歯石は超音波の器具で除去していきます。
④ フロス
歯と歯の間や歯肉との境目など細かい所の汚れを除去していきます。
⑤歯面研磨(ポリッシング)
粗め→細かい粒子へと変えて研磨し、歯の表面をツルツルに仕上げます。
ツルツルの歯面は汚れが付きにくく、虫歯・歯周病の予防につながります。
⑥ 歯肉マッサージ
当院のPMTCでは、最後に専用ジェルを使った歯肉マッサージを行います。
これにより
- 血行促進
- 歯ぐきのハリ改善
- リラックス効果
- 悪玉菌の増えにくい環境づくり
が期待できます。
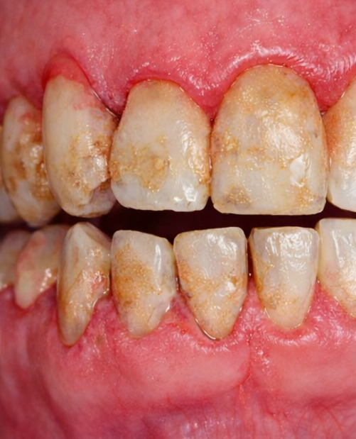
|
術前
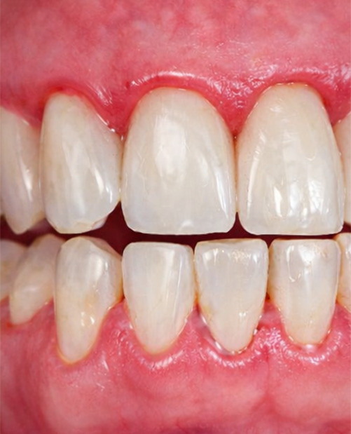
|
術後
|
PMTCのメリット
✔ むし歯・歯周病のリスクを大きく減らせる
細菌の膜=バイオフィルムを除去することで、原因を根本から取り除きます。
✔ 口臭予防に効果的
ニオイの原因菌をまとめて減らすことで、息がすっきり。
✔ 歯の表面がツルツルになる
汚れや着色を付きにくくし虫歯や歯周病予防効果があります。
✔ 歯肉の炎症を落ち着かせる
血行促進+細菌除去で、炎症により腫れている歯肉がきゅっと引き締まります。
✔ 腸内環境の改善にも関係
近年の研究で
「口腔内細菌が腸内フローラ(腸内細菌)に影響する」
ことが分かっています。
口の中の悪玉菌が減る → 腸への悪影響が減る
という繋がりです。
PMTCはどれくらいの頻度で行う?
お口の環境は個人差がありますが推奨は 3〜4か月に1回。
汚れが付く前に除去、予防というサイクルが理想です。
まとめ
PMTCは、「歯のプロが行う特別なクリーニング」です。
ご自宅での歯みがきだけでは落とせない細菌を徹底的に除去することで、
虫歯・歯周病・口臭の予防はもちろん、全身の健康にとっても大きなメリットがあります。
「お口を根本からキレイにしたい」
「口臭や歯ぐきが気になる」
「将来の健康のために予防をしたい」
そんな方は、ぜひ一度PMTCをお試しください。






