- ホーム
- 投稿記事
- 歯の不調を治したい
- 歯並びをきれいにしたい
- 「過蓋咬合(ディープバイト)」の治療例と予防方法
「過蓋咬合(ディープバイト)」の治療例と予防方法
- 2022.11.01
- 歯の不調を治したい
- 歯並びをきれいにしたい
この記事の目次
「過蓋咬合(ディープバイト)」とは
みなさんは、過蓋咬合(かがいこうごう)という言葉を聞いたことはありますか?過蓋咬合とは不正咬合の一つで、上の歯が下の歯におおいかぶさっており、下の歯が見えない状態のことです。「噛み合わせが深い」と言い表すことから「ディープバイト」とも呼びます。
過蓋咬合になる原因はさまざまですが、遺伝や生まれつきによって歯や顎の位置・大きさ・傾きに異常がある、あるいは奥歯を抜いたまま放置している、歯を強く噛みしめたり下唇を噛んだりする癖がある、よく頬杖をつく、などが挙げられます。
過蓋咬合になると、下顎がきちんと動かせなくなるため顎関節への負担がかかり、顎関節症を発症する場合があります。また、下の歯が上の歯にあたると歯や歯ぐきを痛めたり、上の歯が出っ歯になったりします。全体的に噛み合わせの状態が良くないので、詰め物や被せ物が壊れやすくなるといった弊害もあります。
今回の記事は、過蓋咬合(ディープバイト)の実際の症例をもとに、どのようなトラブルが生じたのか、発症を防ぐことはできなかったのかについて、歯科医師として私がお伝えしたいことを踏まえて、ご紹介します。
詰め物などがすぐ壊れ、治療を繰り返していた患者様
患者様は70代の女性で、「口元が老けてみえる」「歯の治療を繰り返しても、詰め物や被せ物がすぐに壊れてしまう」とのことでした。
よくお話を伺ってみると、「口元のシワが深くなってきた気がする」とのこと。口を「いー」と開いた時も、下の歯がほとんど見えない状態です。



患者様は、これまで多くの歯科治療を受けていました。お口の中には、金歯やセラミックの歯が入っていましたが、奥歯のセラミックは剥がれ落ちていました。
このように、治療で入れたものが定期的に壊れてしまうことにも困っていらっしゃいましたが、「そういうものだと思っていた」「自分は昔から歯が弱いから」と考えていたようです。



過蓋咬合(ディープバイト)による噛み合わせ不良が根本原因
これらの根本的な原因は、噛み合わせの不良です。噛み合わせが深くなる「過蓋咬合(かがいこうごう)」別名「ディープバイト」により、噛み合わせのバランスが取れていないことが問題でした。確かにお口の中を見ると、前に治療した歯科医師は、詰め物や被せ物が壊れた箇所を1本1本、丁寧に治しているようでした。
しかし、歯1本1本を治した先に全体のバランスがあるのではなく、全体のバランスを考えた最終デザインから逆算して、歯1本1本を設計する必要があります。
建物を建てる時もそうですよね。全体の構図を先に作って、その後、部分ごとの作り込みに入ることで、最終的に全体から細部まで調和のとれたデザインが完成すると思います。
正しい基準となる噛み合わせについては、こちらの記事をご覧ください。
正常な噛み合わせとは|歯科医師会田の噛み合わせメディア〜カムシル〜
今回の患者様は、下の前歯がでこぼこしながら内側に入り、奥歯に比べて飛び出しています。本来、下の前歯は上の前歯の裏側に当たっているのですが、患者様の場合、下の前歯が上顎に突き刺さるような状態になっていました。


これだと咀嚼したときに、下顎に上の前歯がかぶさって非常に動かしにくいです。
結果として、下の前歯が上の前歯を押し出すようになり、余計に前歯がうまく噛み合いにくい状況になりますし、前歯が悪くなったり、詰め物や被せ物が壊れたりする原因になります。
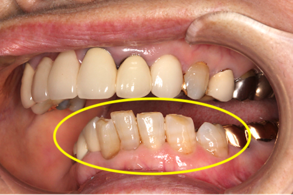
また、上の前歯は何度も治療を繰り返していました。さらに下の前歯の先端は削れていました。下の写真でお分かりでしょうか?

「エナメル質」という、歯の表面の白くて硬い外殻部分が失われ、「象牙質」という、歯の表面から2層目にあたる、少し黄色い部分が露出しています。
下の前歯が異常に削れてしまうというのは、噛み合わせがおかしいことの大事なサインです。
過蓋咬合(ディープバイト)になると、どうなる?
過蓋咬合(ディープバイト)になって前歯がうまく機能しなくなると、奥歯の負担が大きくなります。奥歯がすり減ってしまうだけでなく、詰め物などが壊れてしまう、顎が痛くなる、顎がガクガクする、頭痛や首肩こりが生じるなど、歯・関節・筋肉の弱いところにトラブルが現れます。
今回の患者様は骨格がガッチリした方だったので、特に歯にトラブルが起きていました。奥歯の治療を繰り返しているため、歯を失ったり、歯が本来の高さより低くなったりしている状態でした。歯の本来の高さが急速に失われると、口元のシワが深くなります。
過蓋咬合(ディープバイト)の治療例
問題の原因が噛み合わせにあったので、本来の機能を取り戻せるように逆算して治療をしました。今回の治療内容は、主に下記3つです。
・前歯の凸凹を整えるマウスピース矯正
・被せ物の治療
・歯の摩耗部分をラミネートベニアにより修復
ラミネートベニアとは、歯の表面をコンマ数ミリだけ削り、付け爪のように薄いセラミックを貼り付ける治療です。歯の形や色を変更したいけれど、可能な限り天然の歯を温存させたいときに使います。


治療の結果、歯が本来の高さに近づいて噛み合わせが整ったことで、口元の見え方が若々しくなりました。前歯が無理なく噛める位置になったので、口を「いー」と開いた時に、下の歯が見えるようになりました。また、奥歯の負担が減ったため、顔まわりの筋肉の張りがとれて、スッキリしたように見えます。
噛み合わせが正常になったため、一部の歯に過度な負担がかかる、といった状態も改善が見込めます。これにより、「詰め物や被せ物がすぐに壊れてしまう」というお悩み解消も期待できます。しっかりと診断・治療をすることで、機能面と見た目のどちらも改善を図ることができました。



噛み合わせの問題の多くは、歯の位置と形の異常が複合して起こります。歯の位置に関しては矯正治療、歯の形については修復治療が必要です。ゴールから逆算して、いかに身体や歯への負担、時間的負担、経済的負担を少なくできるか、そして良い治療結果が得られるかを模索します。
その際には、どうしても歯科医師の“引き出しの数”が、ものを言います。そのため私たち歯科医師は、患者様に最適な治療提案ができるように、日々研鑽を積むわけです。
現在は、マウスピース矯正の進歩のおかげで、負担の少ない部分矯正が実現できるようになりました。また、接着剤の進歩により、歯を削る量を減らし、薄いセラミックを応用して治療できるようになりました。さらには、お口全体の設計をパソコン上のデジタルデータで行うことで、治療後の予測が容易にできるようになりました。
過蓋咬合(ディープバイト)治療後のメンテナンス
過蓋咬合の治療後だけでなく、噛み合わせを良い状態で維持するためには、大事なポイントが3つあります。
1.矯正後の後戻り防止
矯正治療直後は歯がずれやすいので、しばらくは後戻り防止を目的とした透明マウスピースを、日中もはめていただきます。噛み合わせがしっかり整ってくれば、噛み合う相手(上下)の歯も“抑え”として効いてくれます。
だいたい半年程度は日中も透明マウスピースを使っていただき、その後は就寝時だけ装着いただくケースが多いです。透明マウスピースは、なるべく薄くて耐久性があるものを使うことで、患者様の不快感を減らしています。
2.定期的な噛み合わせのチェック
噛み合わせが治療直後の状態から変化なく、良い経過をたどっているか、3〜6ヶ月に1度はチェックしていきます。もし変化があっても、わずかな調整で対応できることが多いです。
3.お口の中をきれいに保つ定期チェックとクリーニング
歯が悪くなる原因は、究極的に言えば「噛み合わせ」と「細菌」です。
噛み合わせの問題が改善しても、細菌に対するコントロールができていないと、どうしても虫歯や歯周病といった問題が起きて、せっかく作った詰め物や被せ物がダメになってしまうことがあります。
そのため、お口の中を清潔に保つことも、噛み合わせの正常な維持に欠かせません。
治療事例概要
治療内容:マウスピース矯正、被せ物の治療、ラミネートベニアによる修復
治療期間:1年
治療回数:約10回
治療費用:約180万円
主な副作用、リスク
【マウスピース矯正】
・矯正用マウスピース装着直後~3日間程度は、軽い痛みや違和感を覚える場合があります。
・矯正用マウスピースは長時間装着(1日18時間以上)していただく必要があります。
※装着時間が短くなると、治療計画通りには歯が動かない可能性があります。
・歯の移動に伴い歯茎が少し退縮したり、多少の歯根吸収が起きる可能性があります。
・かみ合わせや食いしばり、歯ぎしりが強すぎる方は、詰め物や被せ物が割れる可能性があります。
・日々変化するお口の中の状態に合わせて定期的な確認、調整を行わなかった場合、詰め物や被せ物の破損等が起きる可能性があります。
・口腔ケア(歯磨きなど)を怠った場合、虫歯や歯肉炎になる可能性があります。
【被せ物の治療、ラミネートベニアによる修復】
・知覚過敏、咬合時痛、冷温痛が生じる可能性があります。
・外科処置をおこなった場合は前者に加えて神経障害や炎症症状が、神経治療をした場合は歯根の先に感染や炎症が起こる場合があります。
・詰め物や被せ物、仮歯は、破損、脱離することがあります。
・噛み合わせの変化、発音の変化、違和感等が起こる場合があります。
・これらの症状の強さには個人差があります。
歯科医師が原因分析・治療を早期にすれば、過蓋咬合(ディープバイト)は改善できる
今回の症例の一番の問題は、噛み合わせが深くなる過蓋咬合(ディープバイト)でした。
患者様は、過去に奥歯を失ってインプラント治療をしていることや、あちこちの歯に詰め物・被せ物の治療をしていることから、噛み合わせ悪化予防の矯正治療に介入できるチャンスは、幾度となくあったように思います。
過蓋咬合(ディープバイト)があると必ず歯が悪くなる、というわけではないので、過蓋咬合(ディープバイト)の特徴を知り、トラブルのサインがわずかに出ているうちに、矯正治療を主体とした本格的な介入ができると良かったと思います。
今回のように、歯科医師が原因をしっかり分析することが大事なのは当然として、みなさんには「私は歯が弱いから」「詰め物はすぐ壊れるものだから仕方ない」という諦めは必要ない、とお伝えしたいです。
街に、歯科医院はたくさんあります。しかし、原因分析や治療をしっかり行うところから、とりあえず目の前の困り事だけ治すところまで、さまざまです。私は多くの患者様を拝見したからこそ「原因を治さないと後々、治療費・治療期間・身体への負担が大変になる」と、しみじみ思います。治療を受け始める前に、先々のことまで歯科医師にしっかり聞いて、確認しましょう。
なお、簡単に過蓋咬合(ディープバイト)を治すことができて、その後のメリットを最も大きく得られるのは、6~10歳くらいに矯正治療を行うことだと思います。
ただ、矯正治療自体は、どの年齢になってもできます。最近は50〜60代になってから矯正治療をスタートされる方も増えてきました。「いつまでも健康に過ごしたい」という想いを持つ方が、年々増えていると感じます。
「噛み合わせや見た目に違和感がある」「以前と比べて口元の形が変わった気がする」「自分は歯が弱い」「何度も治療を繰り返している」などでお悩みの方は、歯科医師 会田にLINEでご相談ください。
下記のページもご覧ください。
正常な噛み合わせとは|歯科医師会田の噛み合わせメディア〜カムシル〜
「お口の問題」と「身体の不調や病気」はつながっている!?|歯科医師会田の噛み合わせメディア〜カムシル〜
歯科医師 会田光一




